You've likely stepped on a scale to check your weight or measured your waistline. But what if those numbers are missing something crucial about your health? Why do some people with a "healthy" weight still develop heart disease, diabetes, or other chronic conditions? The answer often lies in an overlooked factor: visceral fat. This metabolically active fat wraps around your internal organs, quietly shaping your health in ways surface measurements aren't able to capture.
Visceral fat isn't the fat you can pinch or see in the mirror. It's the fat stored deep inside your abdomen that surrounds vital organs like your liver, pancreas, and intestines.
Unlike subcutaneous fat (the fat just under your skin), visceral fat is metabolically hyperactive, meaning it acts more like a hormone-producing gland than simple storage tissue. It functions almost like an endocrine organ, constantly releasing two types of harmful compounds. First are inflammatory compounds called cytokines, which are immune system messengers that signal inflammation throughout the body. Second are hormonal signals known as adipokines, which are proteins that regulate metabolism, appetite, and insulin sensitivity. These substances don't just sit quietly; they actively disrupt your metabolism, accelerate insulin resistance, and increase your risk of cardiovascular disease.
This is why two people with identical BMIs can have completely different health trajectories. One might have most of their fat stored subcutaneously, while the other carries excess visceral fat. The person with higher visceral fat faces significantly greater health risks, regardless of what the scale says.

Cardiometabolic Impact: High visceral fat levels correlate strongly with type 2 diabetes, hypertension, atherosclerosis, and dyslipidemia. Research shows that even normal-weight individuals with excess visceral fat have elevated risk of metabolic syndrome, which is a cluster of conditions that dramatically increases heart disease and stroke risk.
Longevity Implications: Studies reveal that people with excess visceral fat face up to a three-fold higher risk of premature mortality, independent of their overall BMI.
The Inflammation Connection: Visceral fat acts as an inflammation factory, releasing compounds like interleukin-6 (IL-6) and tumor necrosis factor-alpha (TNF-α). IL-6 is a pro-inflammatory cytokine that promotes chronic inflammation throughout your body. TNF-α is an inflammatory protein that damages blood vessels and promotes insulin resistance. These inflammatory signals fuel systemic inflammation throughout your body, accelerating the aging process and contributing to chronic disease development.
The medical community increasingly recognizes that BMI alone provides an incomplete picture of metabolic health. More precise indicators include:
Waist-to-Height Ratio: A simple measurement where a ratio greater than 0.5 suggests elevated visceral fat risk. This takes minutes to calculate and provides more insight than BMI alone. To calculate this, simply divide your waist measurement by your height (both in the same units). For example, if your waist is 32 inches and you're 64 inches tall, your ratio would be 0.5. Anything above this threshold suggests you may be carrying excess visceral fat, even if your weight appears normal.
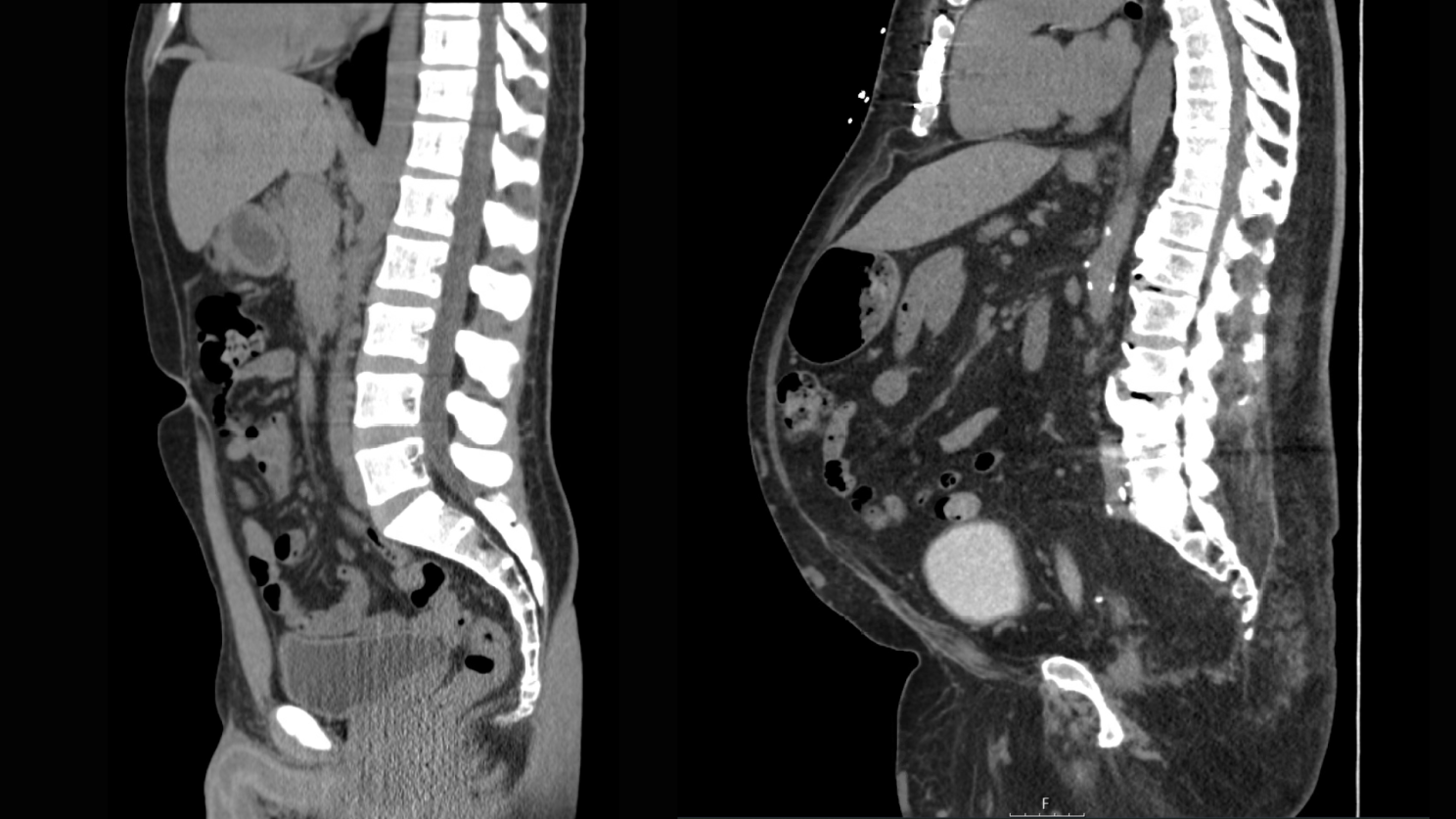
Advanced Imaging: MRI and CT scans remain the gold standard for precise visceral fat measurement. That said, they're typically reserved for research or specific clinical situations.
Bioimpedance Technology: Increasingly sophisticated devices can estimate visceral fat levels non-invasively, making this measurement more accessible to both clinicians and consumers.
Consumer Technology: Smart scales and wearable devices are improving their visceral fat estimation capabilities. While they are less precise than medical imaging, they can provide valuable longitudinal trends that help track changes over time.

The encouraging news is that visceral fat responds remarkably well to targeted lifestyle changes:
Strategic Exercise: Resistance training combined with high-intensity interval training (HIIT) is a great way to reduce visceral fat because these exercises create a high metabolic demand that forces your body to burn the energy-dense fat stored around your organs. Remember, the key is simply getting started with regular movement. Walking, light activity, or any consistent exercise helps build the discipline and foundation needed to start reducing visceral fat.
Nutritional Approaches: Mediterranean and low-glycemic eating patterns consistently reduce visceral fat accumulation. Prioritizing protein intake while reducing added sugars helps control insulin spikes that drive fat storage directly to the abdominal cavity.
Sleep and Stress Management: Poor sleep quality and chronic stress can elevate cortisol levels, which specifically promotes visceral fat storage. Focus on consistent sleep and wake times, and practice stress management through meditation, journaling, or even just stepping outside for fresh air when stress begins to increase.
Targeted Supplementation: Research suggests that omega-3 fatty acids and soluble fiber supplements (like psyllium) may help reduce visceral fat while improving broader metabolic markers.

For healthcare practitioners, visceral fat provides a more precise biomarker of healthspan, which is the number of years you live in good health, than traditional weight-based measurements. It allows for earlier intervention and more targeted treatment strategies.
For individuals, understanding visceral fat reframes the entire health conversation. Being "thin" according to conventional metrics isn't enough if your internal fat distribution is working against your long-term health. True wellness comes from optimizing your whole body, not just what you see on the surface.
As consumer technology makes visceral fat tracking increasingly accessible, this marker will guide both clinical decision-making and personal health strategies.
If you want to extend your life and reduce your risk of age-related disease, it is imperative to target visceral fat reduction with the same urgency you would treat any serious health threat. This isn't about aesthetics or being vain; it's about optimizing the biological processes that determine how well you age and how long you maintain vitality. It's crucial to understand the importance of this marker.
The tools to measure and address visceral fat are becoming more accessible every year. The question isn't whether you should pay attention to this marker, but whether you're ready to shift your focus from what you can see to what truly matters for your long-term health.

More Info: At WellPro, we're developing an AI-native end-to-end clinical platform for personalized, preventative, and data-driven care designed to help clinicians deliver scalable, high-touch, and proactive care that truly empowers the patient.